CAO RĂNG LÀ GÌ?

Tại sao nên lấy cao răng

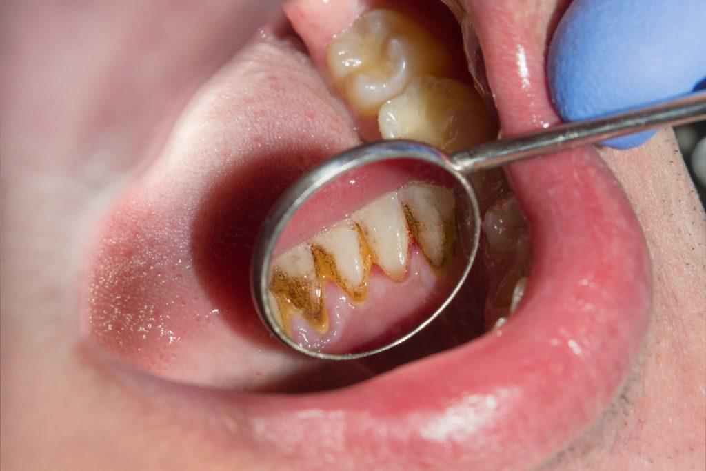
Cao răng gây ra nhiều bệnh lý răng miệng như chảy máu chân răng, viêm lợi, hôi miệng. Mà nguy hiểm hơn cả là viêm nha chu, khiến răng luôn bị ê buốt mỗi khi ăn đồ quá nóng hay quá lạnh. Không những thế, người bệnh còn có thể bị tiêu xương hàm, viêm tùy ngược dòng, các bệnh về mũi họng, tim mạch.

Bao lâu thì nên đi lấy cao răng

Đi lấy cao răng theo định kỳ

Với những người bệnh có liên quan đến cao răng thì tốt nhất nên đến nha khoa để được lấy cao răng theo định kỳ 3-6 tháng/lần. 

Không đi lấy cao răng liên tục

Nếu như không có nhiều cao răng nhưng bạn vẫn đi lấy liên tục sẽ gây ra ảnh hưởng đến hàm răng, và đây cũng là việc làm không cần thiết.

Đi khám để biết thời gian lấy cao răng

Chỉ khi nào xuất hiện cao răng thì bạn mới lấy cao răng? Đúng vậy, nhưng nếu điều này khó khăn với bạn thì hãy đến khám nha khoa thường xuyên nhé

Người bệnh hãy theo dõi tình trạng của mình để biết được thời điểm đi lấy cao răng chính xác nhé. Sau mỗi lần lấy cao răng, răng cần được nghỉ ngơi và táo tạo lại sức khỏe để thực hiện chức năng ăn nhai và tính thẩm mỹ cho hàm răng. Bạn cũng không cần phải quá lo lắng thời gian cao răng quay trở lại nhanh chóng, nếu như biết cách chăm sóc, vệ sinh răng miệng và ăn uống hợp lý.

Lấy cao răng có đau, làm tổn hại men răng

Một số người sau khi lấy cao răng cảm thấy rất bình thường, nhưng một số người cảm thấy đau đớn. Đó là do các yếu tố sau đây

Tình trạng răng miệng

Nếu như khách hàng mắc một số bệnh lý như sưng lợi, viêm lợi, viêm nha chu thì khi lấy cao răng sẽ dẫn đến ê buốt hơn là những người có hàm răng tốt. Ngoài ra, cao răng ảnh hưởng gây viêm nhiễm, khiến cho người bệnh bị đau kéo dài, buộc phải điều trị bệnh lý thì những lần lấy cao răng tiếp theo mới đảm bảo an toàn được.

Mức độ vôi răng

Tạo sao mức độ vôi răng lại ảnh hưởng đến sự đau đớn của người bệnh? Đó là do khi cao răng ở thân thân, chúng ta có thể nhìn thấy được và quá trình lấy cao răng diễn ra nhanh chóng, chỉ mất khoảng 15-30 phút. Còn đối với vôi răng, chúng đã lặng đọng, bám chặt vào nưới nên gây viêm, sưng đỏ. Tất nhiên quá trình lấy vôi răng lúc này cũng sẽ khó khăn hơn. Cảm giác đau nhức sẽ biến mất trong 1-2 ngày và không làm giảm khả năng ăn uống.

Kỹ thuật lấy vôi răng

Trước đây, bác sĩ thường sử dụng bộ dụng cụ lấy cao răng cầm tay hoặc máy thổi cát để lại bỏ vôi răng, và điều này sẽ gây đau cho người bệnh rất nhiều. Hiện nay, việc sử dụng dụng cụ lấy cao răng bằng máy siêu âm đã được phổ biến hơn. Máy móc và kỹ thuật hiện đại đã giúp giảm cảm giác tê buốt cho khách hàng, đồng thời giảm thiểu thời gian để điều trị mà không xâm lấn đến răng và nướu.

Tay nghề của các bác sĩ

Nếu như bạn được điều trị bởi bác sĩ giàu chuyên môn, kinh nghiệm thì lấy cao răng sẽ không bị đau, không gây ảnh hưởng đến má, lưỡu và nướu. Bác sĩ sẽ thực hiện một cách tỉ mỉ, nhẹ nhàng cho bạn. Nếu là bác sĩ có tâm còn tạo ra những câu chuyện vui để  bạn quên đi việc lấy cao răng, để được thỏa mái hơn. Ngược lại, nếu như bác sĩ trình độ chuyên môn còn thấp, không sử dụng thành thạo dụng cụ lấy cao răng thì sẽ gây đau cho bạn.

Biến chứng nguy hại khi lấy cao răng không đúng cách

Bạn có biết, lấy cao răng không đúng cách có thể gây ra những biến chứng. Chúng sẽ khiến cho răng trở nên yếu hơn, nhất là đối với những người vốn đã mắc các bệnh về nướu, lợi hay các nhiễm trùng mãn tính khác.

Lấy cao răng, hay hiểu một cách đơn giản là làm láng răng gốc. Nếu lấy cao răng không sạch có thể dẫn đến răng bị lung lay. Một số trường hợp còn bị mất răng, tuy nhiên trường hợp này là hiếm và khó có thể xảy ra.

Mặt khác, lấy cao răng không đúng cách có thể khiến cho người bệnh bị mắc các bệnh về nướu, nha chu. Bạn sẽ không nhận thấy dấu hiệu cho đến khi bệnh tiến triển và gây ra những bệnh nghiêm trọng khác về nướu, nha chu.

Một điều mà hầu hết người bệnh sau khi lấy cao răng có thể cảm nhận rõ ràng được đó là tăng sự nhạy cảm của răng đối với các loại thức ăn nóng, lạnh. Lúc này, cổ răng bị lộ ra ngoài do nướu co và tụt xuống, nướu cũng thường xuyên bị chảy máu.

Cao răng khi đã tích cụ lớn hơn 3mm có thể gây ra bệnh lý răng miệng, và việc lấy cao răng theo định kỳ là hết sức cần thiết. Thế nhưng, bạn cũng cần có kế hoạch cho việc điều trị, tuân thủ nguyên tắc để đạt được kết quả tốt nhất.

Có thể tác dụng phụ và biến chứng mà cao răng gây ra là không đáng kể, hoặc hiếm xảy ra nhưng bạn đừng vì thế mà bỏ qua, hãy vệ sinh răng miệng của mình thật tốt nhé. Với một số người mắc bệnh lý thì cần thận trong với việc lấy cao răng.

Giá lấy cao răng

Tại sao nên lấy cao răng tại Nha khoa Phú Hòa Luxury

Thực hiện lấy cao răng rất đơn giản và hầu hết nha khoa nào cũng có thể làm được. Điều quan trọng là có làm sạch được vôi răng trong các chân răng hay không, và kéo dài được thời gian hình thành cao răng trong bao lâu.

ĐỘI NGŨ BÁC SĨ GIÀU KINH NGHIỆM

» » Nha khoa Phú Hòa Luxury với kinh nghiệm hơn 10 năm trong nghề, là một trong những nha khoa uy tín hàng đầu tại Hà Nội. Đội ngũ bác sĩ giàu chuyên môn, kinh nghiệm và tay nghề có tâm sẽ mang đến cho người bệnh trải nghiệm hoàn hảo, để cao răng không còn là nỗi lo của bạn.

Các bác sĩ cũng thường xuyên được đào tạo, tổ chức các buổi hội thảo để cùng nhau trao đổi, nâng cao tay nghề làm việc. Các bác sĩ tại Phú Hòa Luxury đều được tiếp cận với các phương pháp lấy cao răng hiện đại, hữu ích nhất, do đó họ luôn thành công kể cả những ca phức tạp, khó điều trị nhất.

DỤNG CỤ NHA KHOA HIỆN ĐẠI

» » Lấy cao răng tại Nha Khoa Phú Hòa Luxury giúp hạn chế tối đa ê buốt răng, đồng thời không làm tổn hại men răng. Với hệ thống dụng cụ nha khoa hiện đại, đạt tiêu chuẩn y tế thế giới, quy trình vô trùng khép kín nên đảm bảo chất lượng dịch vụ cho khách hàng, tránh lây nhiễm từ người bệnh này sang người bệnh khác.

Các dụng cụ còn hỗ trợ giảm đau tối đa cho khách hàng. Nên khi thực hiện bạn sẽ thấy không quá đau buốt. Ngược lại, sau khi lấy cao răng xong bạn sẽ thấy rất thoải mái, an toàn và tự tin với hàm răng của mình, để có thể giao tiếp với những người xung quanh.

Quy trình lấy cao răng tại Nha khoa phú hòa luxury

Bước 1: Thăm khám và tư vấn miễn phí
Bước 2: Vệ sinh răng miệng sạch sẽ
Bước 3: Thực hiện quá trình lấy cao răng
Bước 4: Đánh bóng răng sau khi lấy cao

Chăm sóc răng miệng sau khi lấy cao răng

Sau khi bạn lấy cao răng, men và rướu rất tổn thương và bị ảnh hưởng bởi sự tấn công của vi khuẩn, cũng như tác động từ bên ngoài. Chúng ta cần có chế độ chăm sóc răng miệng hợp lý để giữ hàm răng luôn khỏe mạnh, thẩm mỹ, ngăn chặn thức ăn thừa và mảng bám có thể gây cao răng.

  • Đánh răng ít nhất 2 lần/ngày sau khi thức dậy và trước khi đi ngủ. Sau mỗi bữa ăn, nên sử dụng chỉ nha khoa, nước súc miệng chuyên dụng để loại bỏ thức ăn thừa. Đặc biệt, bạn không nên đánh răng quá nhiều lần trong ngày bởi có thể làm hỏng men răng.
  • Thông thường, theo định kỳ từ 3-6 tháng, bạn nên đến nha khoa để lấy cao răng. Tuy nhiên, bạn có thể kéo dài thời gian bằng cách hạn chế sự hình thành vôi răng với các nguyên liệu có sẵn tại nhà, giúp răng sạch sẽ như chanh, baking soda, cam, vỏ chuối, mía, muối.
  • Ăn nhiều loại thực phẩm giòn tan, các loại chất xơ để giúp nướu, răng được chắc khỏe hơn.
  • Tránh ăn các loại đồ ăn quá nóng hay quá lạnh, bởi có thể khiến men răng bị tổn hại.
  • Hạn chế hút thuốc, uống café vì răng dễ bị nhiễm màu hơn bình thường.
  • Với các loại thực phẩm, đồ ăn ngọt có nhiều chất tạo màu như rượu vang, nước tương, nước sốt thì bạn cũng nên hạn chế để giữ được tính thẩm mỹ cho hàm răng.
  • Kể các các loại thức ăn quá mềm, hay dính như bánh kẹo, socola thì cũng ảnh hưởng đến hàm răng bởi vụn thức ăn, vi khuẩn sẽ tích tụ nhiều vào các kẽ răng khiến cao răng khó lấy hơn.
  • Dù bạn có chăm sóc răng miệng tốt như thế nào thì vẫn có cao răng, do đó cứ 6 tháng/lần, bạn nên đi lấy vôi răng.

Cảm nhận khách hàng

Nếu như  bạn đang có nhu cầu lấy cao răng hay điều trị bệnh lý về răng miệng, hãy liên hệ với chúng tôi đến số hotline 0868 288 158 hoặc đến trực tiếp nha Khoa Phú Hòa Luxury để được thăm khám và tư vấn miễn phí nhé.