Răng sữa chưa rụng đã mọc răng vĩnh viễn là một bệnh lý về răng xảy ra ở trẻ trong khoảng từ 6-10 tuổi. Nếu không có biện pháp xử lý kịp thời và đúng cách sẽ xảy ra nhiều hậu quả khó lường. Hãy cùng tìm hiểu nguyên nhân cũng như cách chữa trị của loại bệnh này.
Tại sao răng sữa chưa rụng đã mọc răng vĩnh viễn
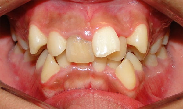
Răng sữa và răng vĩnh viễn

Răng sữa mọc từ khi chúng ta còn nhỏ. Thông thường từ tháng thứ 6 bé đã bắt đầu mọc những chiếc răng cửa đầu tiên. Khoảng từ 1 tuổi đến 6 tuổi là tuổi mọc răng sữa. Thông thường mỗi người sẽ mọc khoảng 20 cái răng sữa.
Từ 6 tuổi trở đi, răng vĩnh viễn sẽ bắt đầu mọc. Chúng sẽ mọc ngay dưới chân của răng sữa. Bởi răng sữa ngoài giúp trẻ ăn nhai và nói trong những năm đầu đời, chúng có một vai trò quan trọng là tạo chỗ cho răng vĩnh viễn. Khi đến tuổi nhất định, răng vĩnh viễn sẽ mọc lên ngay đúng chân răng sữa, khiến cho răng sữa bị lung lay và rụng đi. Sau đó răng vĩnh viễn sẽ thế chỗ đó và mọc lên một cách bình thường.
Răng sữa chưa rụng đã mọc răng vĩnh viễn sẽ gây ra nhiều vấn đề răng miệng nguy hiểm cho trẻ nhỏ. Hãy tìm hiểu nguyên nhân và tác hại của bệnh lý này trong phần dưới đây.
Nguyên nhân khiến răng sữa không rụng mà răng vĩnh viễn đã mọc
Do thói quen ăn uống
Hiện nay trẻ em thường rất kén ăn, nên ba mẹ thường chiều con, cho con ăn những thức ăn nhẹ, cắt nhỏ, nấu nhuyễn… Vì thế trẻ em thường rất ít nhai mà thường nuốt luôn.
Vì thế răng sữa cửa không được sử dụng nhiều, không bị mài mòn và khó lung lay. Sau đó cha mẹ cũng không giám sát quá trình mọc răng của con nên răng vĩnh viễn mọc lên. Từ đó xô đổ hàm răng và xuất hiện tình trạng “hàm răng đôi” (răng sữa và răng vĩnh viễn đều mọc cùng lúc).

Do răng cửa mọc lệch
Nếu bạn thấy răng vĩnh viễn mọc lên xen vào chân răng cửa hoặc mọc lệch về phía trong hàm, thì đó không phải do răng sữa không rụng. Bởi lẽ chân răng sẽ sẽ tiêu biến nếu có sự xuất hiện của răng vĩnh viễn, nên nếu bạn thấy răng sữa chưa rụng đã có răng khác, thì đó chính là do răng vĩnh viễn mọc lệch.
Do trẻ đã mọc răng sữa chậm (qua tuổi mọc răng sữa)
Nếu bạn thấy bé đã hơn 6 tuổi, khoảng tầm 10 tuổi mà răng sữa vẫn chưa mọc đủ, thì răng vĩnh viễn cũng có thể mọc lên. Nhưng lúc này vì chỗ trống không đầy đủ lên chúng cũng sẽ không mọc thành ngay hàng, gây mất thẩm mỹ cho trẻ nhỏ.
Tuổi mọc răng vĩnh viễn khoảng từ 6-10 tuổi. Mỗi người sẽ có 32 cái răng vĩnh viễn, có nghĩa là không bao giờ thay răng nữa. Nên nếu thấy răng sữa chưa rụng mà đã mọc răng vĩnh viễn, bạn cần lập tức đến ngay các cơ sở nha khoa để khám chữa.


Răng sữa chưa rụng đã mọc răng vĩnh viễn có ảnh hưởng gì không?
Răng sữa chưa rụng đã mọc răng vĩnh viễn là một bệnh lý răng miệng không hiếm gặp. Thậm chí cứ 10 trẻ sẽ có khoảng 3-5 trẻ bị. Chúng để lại nhiều hậu quả như:
Khiến cho trẻ bị đau răng và dễ sâu răng
Cấu tạo hàm răng chúng ta là một dạng cố định. Khi còn nhỏ sẽ có khoảng 20 răng sữa, sau đó chúng sẽ rụng dần hoặc bị thay thế bởi 32 răng vĩnh viễn (trong đó có 4 răng khôn). Nếu răng cửa và răng vĩnh viễn chen chúc nhau trong một ổ răng sẽ khiến chúng xâm lấn nhau, làm tổn thương nướu răng.
Một số trẻ sẽ cảm thấy đau nhức, bởi vì răng vĩnh viễn mọc lệch đâm vào nướu hoặc lưỡi. Ngoài ra, răng mọc chen chúc rất khó vệ sinh, thức ăn lại dễ mắc kẹt. Vì trẻ không biết cách vệ sinh sạch sẽ nên sẽ dễ bị sâu răng, hư răng ngay từ khi còn nhỏ. Từ đó phải nhổ bỏ đồng thời cả răng sữa lẫn răng vĩnh viễn.
Làm mất thẩm mỹ hàm răng
Răng cửa và răng vĩnh viễn mọc đồng thời khiến cho hàm răng bị xô lệch, mọc không theo hàm. Nếu không có biện pháp xử lý kịp thời thì khi răng vĩnh viễn mọc hoàn thiện, sẽ khiến hàm răng lệch lạc, mất thẩm mỹ.
Người ta thường nói cái răng cái tóc là gốc con người. Nếu như răng không đẹp sẽ làm giảm thẩm mỹ gương mặt. Đặc biệt với các bé gái sẽ ảnh hưởng lớn đến tương lai sau này.

Tiêu tốn nhiều chi phí và thời gian chữa trị
Thời gian Răng sữa chưa rụng đã mọc răng vĩnh viễn càng lâu sẽ càng khó khắc phục. Từ đó chúng ta phải tốn nhiều chi phí và thời gian để đưa trẻ đến bác sĩ. Hơn nữa, còn khiến con phải chịu đau đớn nhiều trong quá trình nhổ răng.
Nếu không muốn tình trạng này xảy ra thì bạn hãy theo sát quá trình mọc răng của con. Nếu có gì bất thường cần đưa đi thăm khám, để tránh những hậu quả đáng tiếc về sau.

Cần làm gì khi răng vĩnh viễn mọc khi chưa rụng răng sữa.
Hiện nay có nhiều cách để khắc phục tình trạng răng vĩnh viễn mọc khi chưa rụng răng sữa:
Đối với trẻ nhỏ khi mới mọc răng vĩnh viễn
Phương pháp tốt nhất là nhỏ bỏ đi những chiếc răng sữa đi, chừa chỗ cho những răng vĩnh viễn. Theo thời gian hoạt động nhai nói sẽ giúp lưỡi đẩy những răng vĩnh viễn về đúng vị trí. Trong thời gian này bạn cũng phải chú ý vệ sinh răng miệng cho trẻ cẩn thận để bảo vệ cho ổ răng mới nhổ không bị hư tổn.
Đối với người lớn khi răng đã mọc gần hoàn thiện
Khi răng vĩnh viễn đã mọc lớn và ổn định thì sẽ rất khó để chúng trở về vị trí cũ. Lúc này chỉ có cách là bạn nhổ đi những chiếc răng sữa thừa. Sau đó niềng răng để kéo răng vĩnh viễn về vị trí. Với biện pháp niềng răng thì chúng ta cũng có nhiều phương pháp khác nhau:
- Chỉnh nha bằng mắc cài
- Nẹp răng không mắc cài
- Kỹ thuật khay chỉnh răng
Tùy thuộc vào tình trạng răng và điều kiện kinh tế thì bạn có thể thực hiện phương pháp phù hợp nhất. Đây là một quá trình dài lâu nên bạn cần làm càng sớm càng tốt để không để lại nhiều ảnh hưởng. Tuổi thích hợp nhất để niềng răng cho trẻ khoảng từ 10-14 tuổi. Khi đó trẻ đã lớn và có thể áp dụng những phương pháp vệ sinh ăn uống đúng cách hiệu quả.


Giới thiệu đơn vị nha khoa quốc tế Phú Hòa Luxury
Hiện nay nha khoa quốc tế Phú Hòa Luxury là địa chỉ chăm sóc nha khoa hàng đầu tại Hà Nội hiện nay. Dưới sự dẫn dắt của bác sĩ đầu ngành nha khoa Nguyễn Phú Hòa. Nha khoa quốc tế Phú Hòa Luxury làm việc theo tiêu chí: “Đặt sự an toàn, lợi ích của bệnh nhân lên trên hết”. Những khách hàng khi đến đây sẽ nhận được những dịch vụ sau:
- Là một nha khoa chuẩn mực, lấy chữ Tín lên làm hàng đầu trong quá trình làm việc và phục vụ khách hàng.
- Đa dạng các dịch vụ khám chữa nha khoa, với những công nghệ hiện đại nhất để mang lại hiệu quả chữa trị, giảm bớt chi phí cũng như thời gian hồi phục của khách hàng.
- Đội ngũ y bác sĩ có tay nghề và kinh nghiệm, cung cấp dịch vụ khám chữa bệnh, đặc biệt là nha khoa thẩm mỹ tốt nhất thị trường.
- Thái độ phục vụ nhiệt tình chu đáo, luôn lắng nghe tâm sự và ý kiến của khách hàng.
- Giá cả và chất lượng dịch vụ tốt nhất thị trường.
Bảng giá các dịch vụ nhổ răng sữa và răng vĩnh viễn:

Mong rằng, thông qua bài viết trên các bậc phụ huynh đã nhận thấy mức độ nguy hiểm khi Răng sữa chưa rụng đã mọc răng vĩnh viễn. Hãy đưa con mình tới nha khoa thăm khám khi thấy có bất kỳ dấu hiệu bất thường nào về răng miệng nhé! Gọi tới Hotline của nha khoa để đặt lịch khám ngay hôm nay!


